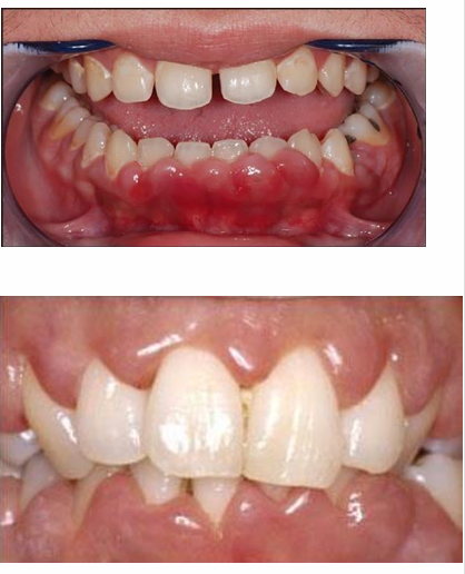
MFD EXAMS /23 6 1234567891011121314151617181920212223 You have 30 min to complete this exam. The timer will start once you begin Attention: Only a few minutes left! Please submit your answers soon. MFD 1 Get a quick sneak peek before the real exam !This trial quiz is designed to show you the question style, difficulty level, and how the options will appear on the platform. 1 / 23 1. What is the lethal dose and toxic dose of fluoride, management? Check 2 / 23 2. What the advantage of silver diamine over other methods and disadvantages ? Check 3 / 23 3. Method of topical fluoride application with concentration ? Check 4 / 23 4. What will happen if left untreated? Check 5 / 23 5. What changes that will happen if the habit stopped? Check 6 / 23 6. Give 3 of your initial stage of treatment? Check 7 / 23 7. What are the causes? Check 8 / 23 8. What is this? Check 9 / 23 9. Then they specified the type of pain and asked about the diagnosis Check 10 / 23 10. What other tests to check vitality of the pulp? Check 11 / 23 11. What are the factors will govern the Rx of Posterior cross bite ? Check 12 / 23 12. What are the factors that govern the treatment of anterior cross bite? Check 13 / 23 13. Name the appliance that you can use to treat this case? Check 14 / 23 14. Name 3 causes? Check 15 / 23 15. Name the most important clinical diagnostic information you need to know. (check RCSI intensive course )? Check 16 / 23 16. What do you see? Check 17 / 23 17. What is your treatment? Check 18 / 23 18. Name the investigations needed? Check 19 / 23 19. causes for gingival enlargement ? Check 20 / 23 20. What is the common side effect of this drug? Check 21 / 23 21. Name the drug that he may take to treat this condition? Check 22 / 23 22. The patient may have what? Check 23 / 23 23. What is this clinical condition? Check /31 2 12345678910111213141516171819202122232425262728293031 You have 30 min to complete this exam. The timer will start once you begin Attention: Only a few minutes left! Please submit your answers soon. MFD 2 Get a quick sneak peek before the real exam !This trial quiz is designed to show you the question style, difficulty level, and how the options will appear on the platform. 1 / 31 1. Mention 2 fixed space maintainers and 2 removable space maintainers other from mentioned : Check 2 / 31 2. Other space maintenance used for child lost primary second molar E before the eruption of the permanent molars ? Check 3 / 31 3. What are the difference between nance appliance and Transpalatal arch Check 4 / 31 4. What material used to attach band? Check 5 / 31 5. What instruction you give to patient? Check 6 / 31 6. Name other fixed space maintainer used in upper jaw and mechanism of their action? Check 7 / 31 7. What component of this appliance? Check 8 / 31 8. What is this appliance , for what its used ? Check 9 / 31 9. Treatment? Check 10 / 31 10. Define Abrasion and Erosion? Check 11 / 31 11. What does this picture show? Check 12 / 31 12. what investigations you can do ? Check 13 / 31 13. Drugs can lead to lichenoid reaction Check 14 / 31 14. What extra oral features in “ Lichenoid reaction )? Check 15 / 31 15. What microscopical features of it ( licheonoid reaction )? Check 16 / 31 16. Definitive diagnosis ? Check 17 / 31 17. Mention type of suggested biopsy ? Check 18 / 31 18. Mention 4 differential diagnosis ? Check 19 / 31 19. Mention 4 questions you will ask the patient ? Check 20 / 31 20. Give 4 intraoral decription of what you see ? Check 21 / 31 21. What the other surgery can be performed to make prothesis? Check 22 / 31 22. Can this tooth stand with fixed prothesis? (in the opg )à taken from Malek file ? Check 23 / 31 23. Radiograph of missing multiple teeth consider it according to Antes law? ON which tooth you will make Abutment ? Check 24 / 31 24. What is Antes law? Check 25 / 31 25. What is best one to use as abutment in fixed prosthesis A or B? Check 26 / 31 26. What relevance of this picture? Check 27 / 31 27. What’s complication of doing surgery in this area floor of mouth? Check 28 / 31 28. Other 2 radiograph needed in diagnosis? Check 29 / 31 29. Give 4 differential diagnosis? Check 30 / 31 30. What can you see ? Check 31 / 31 31. What is the name of radiograph? Check Your score is /30 1 123456789101112131415161718192021222324252627282930 You have 30 min to complete this exam. The timer will start once you begin Attention: Only a few minutes left! Please submit your answers soon. MFD 3 Get a quick sneak peek before the real exam !This trial quiz is designed to show you the question style, difficulty level, and how the options will appear on the platform. 1 / 30 1. Treatment? Check 2 / 30 2. Histopathology? Check 3 / 30 3. Differential diagnosis Check 4 / 30 4. Clinical features’? Check 5 / 30 5. Patient said, this lesion is very frequent, why? Check 6 / 30 6. What are the causes for ulcers? Check 7 / 30 7. Patient have other signs like uveitis ,Genital ulcerations which syndrome he had ? Check 8 / 30 8. Name of the lesion ? Check 9 / 30 9. Mention some TMJ movement ? Check 10 / 30 10. Blood supply ? Check 11 / 30 11. Nerve supply ? Check 12 / 30 12. Which muscles close? Check 13 / 30 13. Action of open and open wide? Check 14 / 30 14. Why it’s Atypical joint ? Check 15 / 30 15. Name of the ligaments ? Check 16 / 30 16. What would be your management? Check 17 / 30 17. Bacteria involved Check 18 / 30 18. Which type of Periodontitis? Check 19 / 30 19. Treatment? Check 20 / 30 20. Histopathology? Check 21 / 30 21. Differential diagnosis? Check 22 / 30 22. Clinical features? Check 23 / 30 23. What are the time frames for making a complaint? Check 24 / 30 24. What are the 3 points related to negligence? Check 25 / 30 25. Who is allowed access to the patient records? Check 26 / 30 26. How to differentiate if it is upper or lower motor neuron lesion? Check 27 / 30 27. Management? Check 28 / 30 28. What are the causes? Check 29 / 30 29. What should you advise the patient to do? Check 30 / 30 30. What is this lesion? Check Your score is /24 1 123456789101112131415161718192021222324 You have 30 min to complete this exam. The timer will start once you begin Attention: Only a few minutes left! Please submit your answers soon. MFD 4 Get a quick sneak peek before the real exam !This trial quiz is designed to show you the question style, difficulty level, and how the options will appear on the platform. 1 / 24 1. What does MRONJ stands for? Check 2 / 24 2. Give definition for MRONJ Check 3 / 24 3. For what medical problems these medications are used? Check 4 / 24 4. Stages of MRONJ 3 Check 5 / 24 5. What’s this appliance? Check 6 / 24 6. At what age is it used? Check 7 / 24 7. What type of malocclusion is it used to treat? Check 8 / 24 8. What changes will produce? (4 options) Check 9 / 24 9. Disadvantages? Check 10 / 24 10. Why is it flabby tissue? Check 11 / 24 11. what is this condition called? Check 12 / 24 12. Causes ? Check 13 / 24 13. Clinical Features ? Check 14 / 24 14. How to avoid it ? Check 15 / 24 15. Management? Check 16 / 24 16. Ideal post length and width Check 17 / 24 17. Definition of Ferrule it’s the Check 18 / 24 18. What is the importance of the ferrule effect ? Check 19 / 24 19. Describe the radiolucency? Check 20 / 24 20. Give 6 differential diagnosis? Check 21 / 24 21. Give 5 radiographical features? Check 22 / 24 22. What is the difference between incisional and excisional biopsy? Check 23 / 24 23. What other 2 plain radiographs we can we can take? Check 24 / 24 24. ALARA? Check Your score is /22 1 12345678910111213141516171819202122 You have 30 min to complete this exam. The timer will start once you begin Attention: Only a few minutes left! Please submit your answers soon. MFD 5 Get a quick sneak peek before the real exam !This trial quiz is designed to show you the question style, difficulty level, and how the options will appear on the platform. 1 / 22 1. . Types of external root resorption? Check 2 / 22 2. The cause of root resorption in the pic? Check 3 / 22 3. How you will treat it? Check 4 / 22 4. What is this probe? Check 5 / 22 5. What is the mark a ? Check 6 / 22 6. What is the mark b ? Check 7 / 22 7. What is the score from the given reading? Check 8 / 22 8. What is the treatment need of the patient according to the score? Check 9 / 22 9. What is the differential diagnosis ? Check 10 / 22 10. Four clinical features of the lesion? Check 11 / 22 11. Treatment ? Check 12 / 22 12. Describe what do you see? Check 13 / 22 13. Causes for it ? Check 14 / 22 14. Treatment ? Check 15 / 22 15. Picture of patient with Anaphylaxis…after taking Check 16 / 22 16. What is diagnosis? - Check 17 / 22 17. What a the signs of Anaphyalxis reactions ? Check 18 / 22 18. What first line of treatment? Dose? Route of Adminstration? Check 19 / 22 19. Other drug used? Check 20 / 22 20. What are expected complications if not treated ? Check 21 / 22 21. What precautions should be made to prevent anaphylaxis reaction ? - Check 22 / 22 22. Name 10 drug in emergency used with their route of Administration and their condition they use in? Check Your score is /36 1 123456789101112131415161718192021222324252627282930313233343536 You have 30 min to complete this exam. The timer will start once you begin Attention: Only a few minutes left! Please submit your answers soon. MFD 6 Get a quick sneak peek before the real exam !This trial quiz is designed to show you the question style, difficulty level, and how the options will appear on the platform. 1 / 36 1. . What are cases that you have to extract the primary tooth? Check 2 / 36 2. D. What are the indications for extraction? Check 3 / 36 3. What are your treatment options? Check 4 / 36 4. Investigations? Check 5 / 36 5. Type of trauma? Check 6 / 36 6. Patient diagnosed with sjorgen syndrome Histology ? - Check 7 / 36 7. Patient diagnosed with sjorgen syndrome Mention four blood investigations ? Check 8 / 36 8. Patient diagnosed with sjorgen syndrome Mention two sites where can we take the biopsy Check 9 / 36 9. Patient diagnosed with sjorgen syndrome How can you differentiate between primary and secondary ? Check 10 / 36 10. Gingival inflammation present in which syndrome Check 11 / 36 11. What is the treatment? Check 12 / 36 12. mention another connective tissue disease that can lead to lesions “ intraorally “ similar to the Lichen planus ? Check 13 / 36 13. what serious complication can arise from Erosive lichen planus ? Check 14 / 36 14. If it was atrophic lesion what histology might be seen ? Check 15 / 36 15. List the histological features of lichen planus ? Check 16 / 36 16. Lichen planus what dose it affect? Check 17 / 36 17. Age group commonly affected ? -ref SAQ Check 18 / 36 18. What are the clinical presentation ‘ types of lichen planus ‘ Check 19 / 36 19. What might you see in patient’s body that has a relation to this lesion? Check 20 / 36 20. What are the differential diagnoses? Check 21 / 36 21. Factors for platelet adhesion? Check 22 / 36 22. What can you see? Check 23 / 36 23. Other 2 process of hemostasis? Check 24 / 36 24. Two diseases in which they increase ? Check 25 / 36 25. Two diseases in which they decrease? Check 26 / 36 26. Medical term when they decrease? And if they increased Check 27 / 36 27. Function Check 28 / 36 28. Life span ? Check 29 / 36 29. From where they arise? Check 30 / 36 30. Normal number? Check 31 / 36 31. What are the function of the guiding plane ? Check 32 / 36 32. The success rate ? Check 33 / 36 33. Mention single extra preparation requirement for Resin bonded bridge in posterior teeth ? Check 34 / 36 34. Mention 5 preparation features of it? Check 35 / 36 35. Give two advantages of it ? Check 36 / 36 36. What’s the name of this prosthesis? Check Your score is /23 1 1234567891011121314151617181920212223 You have 30 min to complete this exam. The timer will start once you begin Attention: Only a few minutes left! Please submit your answers soon. MFD 7 Get a quick sneak peek before the real exam !This trial quiz is designed to show you the question style, difficulty level, and how the options will appear on the platform. 1 / 23 1. If the same scenario but the tooth is subluxated. What is the management? Check 2 / 23 2. Aim of this procedure Check 3 / 23 3. Steps to do this procedure? Check 4 / 23 4. Management? How to asses the vitality of the tooth Check 5 / 23 5. Mention factors that can affect the treatment plan ? Check 6 / 23 6. Identify the Kenneyd’s classification Check 7 / 23 7. Name its parts? Check 8 / 23 8. Uses of Surveyor Check 9 / 23 9. What is this ? Check 10 / 23 10. Criteria for hand piece sterilization Check 11 / 23 11. steps for wrapped instrument sterilization process ( ref : sterilization in SDCEP)? Check 12 / 23 12. What is the difference between sterilization and decontamination? Check 13 / 23 13. Optimal temperature & pressure & time for autoclave? Check 14 / 23 14. Difference between vacuum and non-vacuum autoclave in mechanism? Check 15 / 23 15. Optimum temperature? Check 16 / 23 16. Advantage of vaccum over non vaccum? Check 17 / 23 17. What is the significance of forehead wrinkling? Check 18 / 23 18. What is Ramsy haunt syndrome ? Rx ? and is it LMN or UMN ? Check 19 / 23 19. Enumerate 3 extracranial and intracranial causes for this ? Check 20 / 23 20. What are the branches of facial nerve? Check 21 / 23 21. Why do we suture the eye in a patient with Facial Palsy? Check 22 / 23 22. Differentiate between Upper and Lower Motor Neuron lesions? Check 23 / 23 23. What is shown in photograph? Check Your score is /27 0 123456789101112131415161718192021222324252627 You have 30 min to complete this exam. The timer will start once you begin Attention: Only a few minutes left! Please submit your answers soon. MFD 8 Get a quick sneak peek before the real exam !This trial quiz is designed to show you the question style, difficulty level, and how the options will appear on the platform. 1 / 27 1. Mention 4 diseases you would see in HIV Patients? Check 2 / 27 2. Give 2 differential diagnosis for this lesion? Check 3 / 27 3. Describe the lesion shown in Photograph B? Check 4 / 27 4. What is your diagnosis ? Check 5 / 27 5. Describe the lesion shown in Photograph A? Check 6 / 27 6. Disadvantages of gold ? Check 7 / 27 7. Ideal cement for All Porcelain? Check 8 / 27 8. Which cement would u use for high caries risk patient? Check 9 / 27 9. How much would you prepare for functional and non-functional cusps in Gold Crown? Check 10 / 27 10. what crown would you go for in bruxism patients out of these 3? Check 11 / 27 11. Name the 3 restorations? Check 12 / 27 12. After administering Local Anesthesia and deciding the choice of biopsy. What should be done before biopsying the lesion? Check 13 / 27 13. Name 2 systemic steroids with dosage you would recommend for this patient? Check 14 / 27 14. Name 2 topical steroids with dosage you would recommend for this patient? Check 15 / 27 15. What is your diagnosis? Check 16 / 27 16. Describe the lesion shown in photograph? Check 17 / 27 17. Name 5 options to increase retention and stability in class l Check 18 / 27 18. E. What is the function of the RPI system ? Check 19 / 27 19. What are the 2 disadvantages of the 2 restorations you mentioned? Check 20 / 27 20. What materials are your 2 restorations made of? Check 21 / 27 21. Other than implants what restoration would you place in this patient? Check 22 / 27 22. Which Kennedy’s classification is this? Check 23 / 27 23. Describe your management? Check 24 / 27 24. What may be the patient complaint? Check 25 / 27 25. What are the causes of this? Check 26 / 27 26. Describe what you see in the photograph? Check 27 / 27 27. which 4 examinations would you undertake? Check Your score is /31 0 12345678910111213141516171819202122232425262728293031 You have 30 min to complete this exam. The timer will start once you begin Attention: Only a few minutes left! Please submit your answers soon. MFD 9 Get a quick sneak peek before the real exam !This trial quiz is designed to show you the question style, difficulty level, and how the options will appear on the platform. 1 / 31 1. Describe what you see in the photograph? Check 2 / 31 2. Three other features of this syndrome ? Check 3 / 31 3. What is the medical condition associated with it “? Multiple OKC? Check 4 / 31 4. Where expansion occurs in the OKC ? Check 5 / 31 5. From which cells this lesion arises from? Check 6 / 31 6. What is your diagnosis? Check 7 / 31 7. What is the histopathology of the lesion shown in Histology slide? Check 8 / 31 8. Give 4 differential diagnosis? Check 9 / 31 9. What is the consequence of premature loss of deciduous teeth? Check 10 / 31 10. Identify those appliances and mention one use for each and mode of action? Check 11 / 31 11. What component of appliance no. 3 ? Check 12 / 31 12. How to overcome open bite disadvantage ? Check 13 / 31 13. What are Disadvantages of this appliance ? Check 14 / 31 14. What Ceph changes are expected while using this appliance ? Check 15 / 31 15. What is the construction of Twin Block Appliance? Check 16 / 31 16. What skeletal and dental changes are expected while using this appliance ? Check 17 / 31 17. What is the ideal age to treat this condition >? Check 18 / 31 18. Indications of the Twin Block Appliance? Two Check 19 / 31 19. Name the Appliance used to correct this? Check 20 / 31 20. What is the treatment? Check 21 / 31 21. How to prevent it Check 22 / 31 22. Mention three mechanisms of action of Fluoride? Check 23 / 31 23. What is the disease caused by excess Fluoride? Check 24 / 31 24. What are the risk factors associated with this patient? Check 25 / 31 25. Name the principal organism causing this? Check 26 / 31 26. what are the principles of the access cavity Check 27 / 31 27. What is your diagnosis? Check 28 / 31 28. What are principles of cavity preparation? Check 29 / 31 29. What is your Periapical diagnosis? Check 30 / 31 30. What is your Pulpal diagnosis? Check 31 / 31 31. Which test would you undertake? Check Your score is /21 0 123456789101112131415161718192021 You have 30 min to complete this exam. The timer will start once you begin Attention: Only a few minutes left! Please submit your answers soon. MFD 10 Get a quick sneak peek before the real exam !This trial quiz is designed to show you the question style, difficulty level, and how the options will appear on the platform. 1 / 21 1. Patient is 20 years old Mention two treatment options for this case ? Check 2 / 21 2. Patient is 20 years old What is the long term risk for not treating this case ? Check 3 / 21 3. Name of this appliance in the next picture? Check 4 / 21 4. What is the wire used ? Check 5 / 21 5. For which orthodontic cases this appliance is necessary ? Check 6 / 21 6. Why we use retainer ? Check 7 / 21 7. Describe what you see ? Check 8 / 21 8. Differential diagnosis:- Check 9 / 21 9. Name of those muscles ? Check 10 / 21 10. Name the Extrinsic muscles of the tongue? Check 11 / 21 11. . Which nerves innervate the Extrinsic muscles of the tongue?. Check 12 / 21 12. What is the somatic innervation of anterior 2/3 of tongue? Check 13 / 21 13. Which nerve supplies the posterior 1/3 of tongue?. Check 14 / 21 14. From which Pharyngeal arch posterior 1/3 derived from? Check 15 / 21 15. Mention the intrinsic muscle of the tongue ? Check 16 / 21 16. What is the name of this condition ? name the lesion on the skin ? Check 17 / 21 17. Mention 3 drugs that causing it ? Check 18 / 21 18. 2 infections associated with it Check 19 / 21 19. Mention 2 immediate treatment ? Check 20 / 21 20. Why this condition can be fatal ? Check 21 / 21 21. Which test would you undertake? Check Your score is